USE CASE

Tele-ICU Management of a Trauma Patient at a Peripheral Center

Sai Praveen Haranath, MBBS, MPH, FCCP1symbol; Hima Bindu Kotamarthy, MBBS, MD, FNB2symbol; Sri Ramya Ganti, MBBS, MD, MRCP3symbol; and DS Srinivas, MBBS, MD4,5symbol

1Senior Consultant Pulmonologist & Critical Care Specialist, Medical Director, Apollo Access TeleICU Service, Apollo Hospitals, Hyderabad, India; 2Consultant, Critical Care Medicine, Apollo Hospitals, Hyderabad, India; 3Registrar, Critical Care, Apollo Hospitals, Hyderabad, India; 4General Physician, Sai Srinivasa Hospital, Telangana, India; 5Apollo Hospitals, Film Nagar, Telangana, India

Keywords: intensive care; monitoring; polytrauma; remote care; tele-ICU; teletrauma; trauma

Abstract

Methods: A 23-year-old male was admitted to a peripheral center following a fall from a tractor. Examination at admission revealed a conscious, stable patient with significant chest pain. The tele-ICU (intensive care unit) was called, and when they received the patient, he was stabilized and managed immediately. The tele-ICU connection was provided through the Command Center in Apollo Hospitals, Jubilee Hills, Hyderabad, India, which is connected to multiple spoke locations at peripheral centers using audio-visual aids. An intensivist is available 24 h daily to provide critical care services to the peripheral centers through audio-visual aids. The tele-ICU connection is provided to the peripheral centers through commercial audio-visual and bedside data transfer devices. The tele-ICU team supervised the primary survey remotely via a central monitor, viewing the patient’s vitals along with the audio/video calling capabilities of the cameras as a part of the tele-ICU program.

Results: Chest X-rays showed bilateral pneumothorax, lung compression, and multiple rib fractures. The team at the peripheral center was immediately advised to institute bilateral intercostal drainage (ICD). High-resolution CT chest (HRCT) reveals extensive right and minor left pneumothorax, bilateral lung contusions, a right clavicle medial end fracture, and multiple rib fractures. Ultrasonography of the abdomen showed altered splenic echo texture and moderate left pleural effusion. Flail chest and paradoxical breathing pattern warranted endotracheal intubation. The patient was ventilated for 4 days. On day 3, the patient experienced an air leak from the left ICD, increased drain output, and decreased hemoglobin. The tele-ICU team consulted the cardiothoracic surgeon regarding the air leak and followed their advice to attach a vacuum bottle to the ICD. The patient’s breathing improved gradually. Mechanical ventilator settings (i.e., tidal volume, respiratory rate, and peak airway pressures) were reviewed daily by the tele-ICU team during the regular morning and evening rounds. In addition, the ventilator and the bedside monitor were continuously monitored from the Command Center through video conferencing, which is integrated with electronic software and regularly captures the patient’s vitals. After 4 days of mechanical ventilation, the patient was extubated and started on oxygen therapy. Oxygen was gradually tapered and stopped. After 8 days of uneventful hospitalization, the patient was discharged.

Conclusion: Studies show that telemedicine can provide expert-guided mentoring for life-saving procedures, including pre-hospital assessment and triage for polytrauma, tube thoracotomies, and extended focused assessment with sonography in trauma (eFAST). Technology may help resource-constrained places adopt telemedicine and its benefits.

Plain Language Summary

Medical care of a patient in a remote area where no critical care physicians were available was achieved with the assistance of an intensive care unit telemedicine (tele-ICU) This technology-enabled care developed to address the need to access intensivists to deliver medical care readily. Here, the authors discuss the case of a 23-year-old male with significant chest pain following a fall from a tractor. Examination at admission revealed a conscious, stable patient. In this case, telemedicine provided expert-guided mentoring for life-saving procedures.

 

Citation: Telehealth and Medicine Today © 2024, 9: 472.

Doi: https://doi.org/10.30953/thmt.v9.472

Copyright: © 2024 The Authors. This is an open-access article distributed in accordance with the Creative Commons Attribution Non-Commercial (CC BY-NC 4.0) license, which permits others to distribute, adapt, enhance this work non-commercially, and license their derivative works on different terms, provided the original work is properly cited, and the use is non-commercial. See: http://creativecommons.org/licenses/by-nc/4.0.

Submitted: January 17, 2024; Accepted: February 20, 2024; Published: February 29, 2024

Funding Statement: There was no funding source for this study.

Financial and non-Financial Relationships and Activities: Dr. Saiyed is an editorial board member of Telehealth and Medicine Today (THMT). The other authors report no such relationship.

Corresponding Author: Hima Bindu Kotamarthy Email: himabindukotamarthy@gmail.com

 

This report discusses the remote management of polytrauma in a young patient located in a remote peripheral center devoid of critical care physicians. Proper intensive care was made available through a tele-ICU system. Trauma is a leading public health problem worldwide, accounting for an estimated 10% of global mortality.1 Trauma is a neglected disease of modern developing nations.2 All trauma data from India emanates primarily from road traffic injury estimates, which are increasing at an annual rate of 3%.3

With a global death toll of over 1.35 million, road traffic injury is the fourth most prevalent cause of mortality globally3,4 and the ninth contributor to the loss of disability-adjusted life years.5 Nevertheless, in high-income nations, there has been a downward trend in the incidence of injuries. Unfortunately, road traffic fatalities remain alarmingly high among those from lower socio-economic strata.6,7

Mortality among trauma patients in rural areas is double that of similar patients in urban areas. Rural emergency department staff see fewer trauma cases than those seen by urban emergency department staff.8 Reduced exposure to this low volume affects the quality of care provided in rural areas.

The development of telemedicine for trauma and emergency treatment (also known as “teletrauma”) might potentially be a way to bridge this gap.9 Technology advancements have successfully used telemedicine on a national and global scale, bringing cutting-edge resources and highly skilled professionals virtually to the most remote areas.

Telemedicine connects pre-hospital, community-based, and tertiary care via remote and internet-based systems, providing specialty care formerly unavailable in local healthcare.9 Tele-technologies in medicine are useful in managing trauma, but there remain barriers that limit wider adoption.

Here is reported a young patient with trauma who was admitted to a center without critical care specialists. The local team effectively treated the patient and supervised by the remote tele-ICU team. Regular, intermittent expert advice resulted in a discharge after 10 days.

Case Report

A 23-year-old male was admitted to a peripheral center in Nalgonda, 100 km from Hyderabad (Figure 1), with a history of trauma following a fall from a tractor at a work field. The patient was conscious on presentation. He was hemodynamically stable and admitted for severe chest pain and further evaluation of trauma injuries.

Fig 1
Fig. 1. The map shows the geographical location of Nalgonda, 100 km (62 miles) from Hyderabad, India.

A tele-ICU connection is provided through the Command Center located in Apollo Hospitals, Jubilee Hills, Hyderabad. The Apollo Tele ICU Command Center connects to multiple spoke locations (Figure 2) at peripheral centers through audio-visual aids. Peripheral locations are more than 50 to 100 km (31 to 62 miles) from Hyderabad, where critical care specialists are lacking. Accordingly, input from a critical care physician is achieved using the tele-ICU. An intensivist is available 24 h daily to provide critical care services to the peripheral centers through audio-visual aids. A tele-ICU connection is provided to the peripheral centers through commercial audio-visual aids and bedside data transfer devices.

Fig 2
Fig. 2. Tele ICU Command Center and its peripheral connected centers.

In this case, after the patient arrived, the tele-ICU was called immediately for assistance with stabilization and management. The tele-ICU supervised the patient’s initial evaluation using a remote view of the central monitor, which showed the patient’s vital signs along with the audio/video calling capabilities of bedside cameras. The bedside cameras are capable of pan/tilt/zoom (PTZ) options, which allow the intensivist to monitor the patient throughout the procedure and offer recommendations to the primary care team regarding the examination methods for the spine, chest, and abdomen, as well as to search for other injuries. The tele-ICU team identified paradoxical breathing in this patient through audio/video conferencing cameras. Hence, it was suggested that a chest CT scan be obtained.

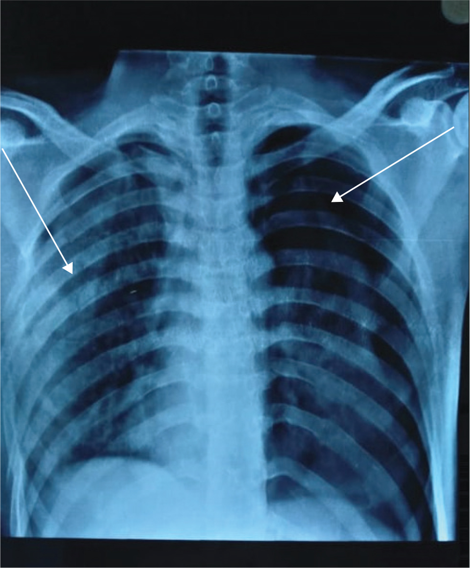
Chest X-ray (Figure 3) revealed bilateral pneumothorax primarily on the left, with a mediastinal shift towards the right side. A fracture of the right second and third ribs and a segmental fracture of the right 4th to 8th ribs were suggestive of a flail chest. Gross pneumothorax of the left lung resulted in a partial collapse of the left lung. High-resolution computed tomography (HRCT) of the chest revealed extensive right and minor left pneumothorax, bilateral lung contusions, a right clavicle medial end fracture, and multiple rib fractures.

Fig 3
Fig. 3. Chest X-ray of the patient revealed pneumothorax (right arrow) and rib fractures (left arrow).

After reviewing the HRCT (Figure 4), the peripheral center team advised the emergency department team to place an intercostal drainage bilaterally immediately.

Fig 4
Fig. 4. High-resolution computed tomography of the chest showing pneumothorax and lung contusions.

Ultrasonography of the abdomen revealed altered splenic echo texture and moderate left pleural effusion. The patient’s flail chest and paradoxical breathing pattern warranted endotracheal intubation. The tele-ICU team monitored the patient during intubation and the initiation of ventilation with the help of high-definition cameras. High-definition cameras with PTZ capabilities were controlled by the tele-ICU team at the Command Center. Patient monitors were connected to a central monitor, giving the tele-ICU team access to the central monitor and patient vitals, which were auto-charted in the software.

This video conferencing solution is integrated with electronic medical record software as part of the tele-ICU program. Mobile networking was also utilized, with duty mobile at the peripheral center hospital and Command Center mobile at the Command Center, if technical difficulties caused a delay in the data transfer.

With these advanced bedside data transfer systems and high-definition cameras with PTZ capabilities, we were able to monitor the process of intubation as well as observe the ventilator graphics. The ventilator curve graphs (Figure 5) were monitored to look for any breath stacking occurring in the background of the flail chest. In this way, mechanical ventilation was continued for 4 days with regular support from the tele-ICU team.

Fig 5
Fig. 5. Ventilator curve graphs of the patient.

After 3 days of mechanical ventilation, the patient experienced an air leak from the left ICD, increased drain output, and decreased hemoglobin. Immediately, the tele-ICU team intervened and referred the case to a cardiothoracic surgeon from the healthcare center.

The cardiac surgeon recommended replacing the intercostal tube drainage bag with a bottle and coupled to 30-cm H2O-negative suction. The tele-ICU team reviewed images and recommended daily chest X-rays. And the drain output gradually decreased in tandem with good lung expansion. The tele-ICU team evaluated the patient’s spontaneous breathing, carefully examining the tidal volumes, calculating the rapid shallow breathing index (RSBI), and advising the peripheral center team when to remove the patient from the ventilator. The ability to view the patient and the ventilator at the same time with the help of the PTZ cameras helped the intensivist accurately analyze the spontaneous breathing trial and RSBI.

The patient’s breathing gradually improved. On Day 5, the patient was extubated following 4 days of mechanical ventilation after ensuring good lung expansion and evaluating spontaneous breathing using the rapid shallow breathing index (Figure 6). A repeat HRCT confirmed that lung expansion was adequate. Oxygen was gradually tapered and then stopped, and the patient was discharged after 10 days.

Fig 6
Fig. 6. The patient’s X-rays (day 1 through day 6) reveal gradual improvement. On Day 5, the patient was extubated following 4 days of mechanical ventilation.

Discussion

Telemedicine has broken barriers across countries and grown significantly in the last decade. Today, sophisticated systems utilize advanced medical instruments capable of effectively managing a large number of patients across several locations simultaneously. The concept of tele-ICU revolves around the operation of a Command Center in the centralized approach10 situated in a strategically advantageous location within a larger hospital.

This placement enables the Command Center to have comprehensive access to one or multiple ICUs from a remote monitoring center using advanced technology and effective communication channels. This facilitates timely consultations with a diverse range of specialists. In addition, the tele-ICU is also referred to as “telepresence” due to its ability to connect smaller, remote healthcare institutions with highly skilled critical care physicians at larger centers. This ensures continuous 24-h access to healthcare.11

The application of the tele-ICU extends beyond simple video-teleconferencing, encompassing the expert assessment of patients and procedures, as we have done in our patient management. Commencing with a preliminary examination of trauma patients, it includes all elements of patient care. This case report illustrates the operational efficacy of a tele-ICU program that has existed for over a decade.

The workflow of tele-ICU setup was discussed in “Telemedicine to Expand Access to Critical Care Around the World” by Ganapathy et al.12 The tele-ICU program in Apollo is well structured and organized. The workflow starts when the tele-ICU staff is promptly informed of a patient’s admission by the peripheral center. Continuous monitoring is immediately initiated, and the patient’s condition is discussed with the doctor and nurse at the spokeswoman’s location. From admission to discharge, the patient is continuously monitored from the Command Center directly using audio-visual aids (Figure 7).

Fig 7
Fig. 7. The physician at the tele-ICU monitors the patient at the spoke location. (1) A central monitor shows the vitals of all patients in the intensive care unit. (2) The intensivist monitors the patient’s (two-dimensional) echocardiography via the peripheral center’s pan/tilt/zoom camera. The physician performs two-dimensional echo scanning at the peripheral center. (3) The medical software captures and displays the patient’s vital signs.

Morgan et al.13 examined the challenges and patient outcomes related to emergency trauma care in rural areas. The evidence suggests that rural and distant communities face unique challenges in providing emergency trauma care. Issues include delays in transferring patients to tertiary care, limited resources in the remote center, risk factors unique to the community, weather and seasonal variations, and accessibility to trained trauma care personnel. These factors often lead to higher morbidity and mortality. The mortality can be mitigated, and these factors can be overcome using the advantage offered by the tele-ICU Command Center.

Very few studies on Indian patients have evaluated the impact of tele-ICU on patient mortality and outcomes and the usage of telemedicine in trauma management. An Indian study by Haranath et al.14 described eight teleconsults for trauma-brain injury patients over 16 months from a remote Command Center to peripheral ICUs. Healthcare personnel in both hospital settings and in the field can receive remote guidance and access essential physiological measurements. Establishing and maintaining best practices can be facilitated by using tele-ICU guidance alerts and instructive moments of significance. Intensivists can offer expert advice and direction to frontline healthcare personnel about emergency trauma treatment and other areas in the intensive care setting.15

Duchesne et al.16 described the impact of telemedicine on rural trauma care, wherein during 5 years, 463 out of 814 trauma patients were studied for length of hospital stay and survival rate, and found that telemedicine support increased the evaluation and management of a patient. It also decreased the total hospital cost. But there was no difference in the mortality rate.

Deploying resources of a tele-ICU in a peripherally connected center for trauma care can improve patient outcomes.17,18 The patient’s data (vital signs, medications administered, and radiology findings) can be transmitted to a tele-ICU. As in our case, telemedicine can offer expert-led guidance in critical surgical procedures, such as pre-hospital evaluation and prioritization for orthopedic and neurosurgical injuries, tube thoracostomies, and extended focused assessment with sonography for trauma (EFAST) assessments. The utilization of technology has the potential to facilitate the adoption of telemedicine in resource-limited regions, thereby enabling access to its associated health advantages.

Despite the increasing adoption of telemedicine across various healthcare sectors in India, its application in trauma and critical care is in the early stages of development and implementation. This is underscored by the absence of published literature, suggesting a substantial gap and a pressing need for research, documentation, and dissemination of knowledge in this particular area.

This manuscript aims to contribute to filling this evident gap by providing insight and sharing experiences from implementing a tele-ICU initiative in a trauma care context in India. We believe this work will catalyze further research and publications in this field, ultimately fostering a more robust body of knowledge and encouraging the adoption of telemedicine practices in trauma and critical care nationwide. We hope this manuscript will add value to the existing global literature on telemedicine in trauma care and inspire and pave the way for future Indian studies and publications in this crucial field.

Conclusion

The implementation of telemedicine in trauma resuscitation is very challenging, yet potentially rewarding. Integrating telemedicine consultations into emergency departments located in remote hospitals augments the facility’s ability to administer trauma treatments, leading to improved patient outcomes.

Presently, there is a scarcity of case reports and research studies investigating the impacts of tele-ICU in rural trauma clinics in the Indian environment. This case study serves as an introductory exploration in this field, underscoring the necessity for further randomized controlled studies to comprehensively examine telemedicine’s impact on emergency trauma care.

Contributors

Drs. Hima Bindu Kotamarthy and Sri Ramya Ganti contributed substantially to the conception and design of the work reported in this article and data acquisition, analysis, and interpretation. Dr. Hima Bindu Kotamarthy wrote the manuscript and revised it for intellectual content. Dr. Sai Praveen Haranath approved the final version for publication. Drs. Sai Praveen Haranath and DS Srinivas oversaw all aspects of the work, including ensuring that questions related to accuracy or integrity were appropriately investigated and resolved. All authors approved the manuscript and agree with its submission to Telehealth and Medicine Today.

Acknowledgments

The authors acknowledge the assistance of Dr. Shubham Jana, Manager, Public Health Specialist, Apollo Tele-Health Services, for reviewing the article.

Content Creation and Information Retrieval

Use of ChatGPT and Chatbots: Quillbot was used during the manuscript preparation to check the plagiarism percentage. No Generative AI images were used.

References

  1. Bhalla K, Harrison JE, Shahraz S, Fingerhut LA. Availability and quality of cause-of-death data for estimating the global burden of injuries. Bull World Health Organ. 2010;88(11): 831–838C. https://doi.org/10.2471/blt.09.068809
  2. Traumaindia.org. [cited 2024 Feb 6]. Available from: https://traumaindia.org/trauma-india-factfile.php
  3. Gumber A. Cost and Burden of Injury in India: An Emerging Public Health Threat. Iussp.org. [cited 2024 Feb 6]. Available from: https://iussp.org/sites/default/files/Brazil2001/s70/S74_03_Gumber.pdf.
  4. Reddy KS. Global Burden of Disease Study 2015 provides GPS for global health 2030. Lancet. 2016;388(10053):1448–9. https://doi.org/10.1016/S0140-6736(16)31743-3
  5. Peden M, Scurfield R, Sleet D, Hyder AA, Mathers C, Jarawan E. World report on road traffic injury prevention. Geneva: World Health Organization; 2004.
  6. Global status report on road safety 2018: summary. World Health Organization Global status report on road. 2018. Available: https://www.who.int/publications/i/item/9789241565684
  7. Prinja S, Jagnoor J, Chauhan AS, Aggarwal S, Ivers R. Estimation of the economic burden of injury in north India: a prospective cohort study. Lancet. 2015;385 Suppl 2:S57. https://doi.org/10.1016/S0140-6736(15)60852-2
  8. Ricci MA, Caputo M, Amour J, Rogers FB, Sartorelli K, Callas PW, et al. Telemedicine reduces discrepancies in rural trauma care. Telemed J E Health. 2003;9(1):3–11. https://doi.org/10.1089/153056203763317602
  9. Prabhakaran K, Lombardo G, Latifi R. Telemedicine for trauma and emergency management: an overview. Curr Trauma Rep. 2016;2(3):115–23. https://doi.org/10.1007/s40719-016-0050-2
  10. Reynolds HN. The Tele-ICU: formative or out-of-date or both? Practice models and future directions. In: Koenig M, editors. Telemedicine in the ICU. Cham: Springer International Publishing, 2019; p. 3–19.
  11. Ryu S. Opportunities and developments in member states: report on the second global survey on eHealth 2009 (global observatory for eHealth series). Healthc Inform Res. 2012;2(2): 153–55. https://doi.org/10.4258/hir.2012.18.2.153
  12. Ganapathy K, Haranath SP, Baez AA, Scott BK. Telemedicine to expand access to critical care around the world. Crit Care Clin. 2022;38(4):809–26. https://doi.org/10.1016/j.ccc.2022.06.007
  13. Morgan JM, Calleja P. Emergency trauma care in rural and remote settings: challenges and patient outcomes. Int Emerg Nurs. 2020;51:100880. https://doi.org/10.1016/j.ienj.2020.100880
  14. Haranath SP, Ganapathy K, Kesavarapu SR, Kuragayala SD. ENeuroIntensive care in India: the need of the hour. Neurol India. 2021;69(2):245–51. https://doi.org/10.4103/0028-3886.314591
  15. Haranath S, Udayasankaran J. Tele-intensive care unit networks: a viable means for augmenting critical care capacity in India for the COVID pandemic and beyond. Apollo Med. 2020;17(3):209–16.
  16. Duchesne JC, Kyle A, Simmons J, Islam S, Schmieg RE Jr, Olivier J, et al. Impact of telemedicine upon rural trauma care. J Trauma. 2008;64(1):92–7; discussion 97–8. https://doi.org/10.1097/TA.0b013e31815dd4c4
  17. Aucar JA, Eastlack R, 3rd, Wall MJ, Jr, Liscum KR, Granchi TS, Mattox KL. Remote clinical assessment for acute trauma: an initial experience. Proc AMIA Symp. 1998;396–400.
  18. Latifi R. Telepresence and telemedicine in trauma and emergency. Stud Health Technol Inform. 2008;131:275–80.

Copyright Ownership: This is an open-access article distributed in accordance with the Creative Commons Attribution Non-Commercial (CC BY-NC 4.0) license, which permits others to distribute, adapt, enhance this work non-commercially, and license their derivative works on different terms, provided the original work is properly cited, and the use is non-commercial. See: http://creativecommons.org/licenses/by-nc/4.0.